EEUU | SUFRÍA EPISODIOS DE PRIAPISMO
Un joven de 17 años se somete a la primera intervención exitosa para reducir su pene
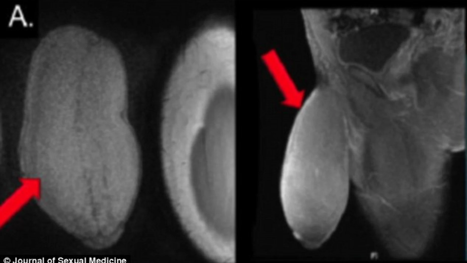
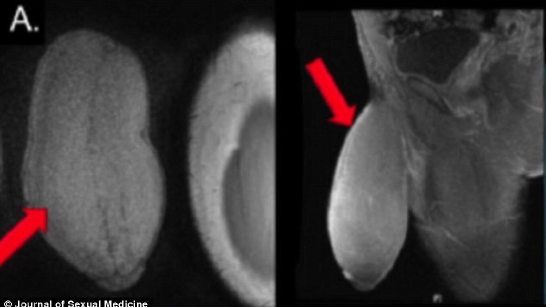
Un joven de 17 años se ha sometido a la primera reducción de pene que se ha realizado con éxito en el mundo tal y como recoge la publicación 'The Journal of Sexual Medicine'. El joven decidió operarse después de que su pene creciera demasiado por un episodio de priapismo. Su gran tamaño le impedía mantener relaciones sexuales o practicar deporte con normalidad.

Publicidad
El joven sufrió un episodio de priapismo, una erección continuada por la acumulación de glóbulos rojos, que aumentó su miembro viril. Su gran tamaño le impedía mantener relaciones sexuales y hacer deporte. El urólogo de la Universidad de Florida Rafael Carrión asegura que cuando el paciente le pidió si podía hacer su pene más pequeño se sorprendió porque nunca se había enfrentado a un reto médico de esas características.
Los episodios de priapismo habían hinchado y deformado su pene hasta el punto de adoptar una forma similar a la de un 'pomelo', tal y como aseguró el doctor. "Su pene era tan grande que cuando tenía erecciones no crecía, simplemente se endurecía". "Su pene se había hinchado como un globo", sostuvo Carrión.
El equipo médico que realizó la intervención no encontró ningún precedente que les orientara. Finalmente adoptaron una técnica quirúrjica utilizada para tratar la enfermedad de Peyronie, una condición en la que el tejido cicatrizal invade el pene causando que se doble.
El adolescente pasó dos días en el hospital antes de regresar a casa. Declaró sentirse "muy contento" con su nuevo pene. Los médicos no tomaron medidas finales del pene, aunque el Dr. Carrión aseguró que el resultado fue "generoso".
Más Noticias
-
Diagnosticado de cáncer de próstata y castrado químicamente tras esperar mas de un año y medio una cita con el urólogo
-
El gran día de Leo y Adrián, reciben su primer tratamiento contra la piel de mariposa: "Es un paso histórico, estamos muy felices"
-
Un brote de sarna noruega en el hospital Compostelano de Conxo afecta a una veintena de sanitarios
"Es un poco más largo y ligeramente más grueso que el promedio, pero ahora parece simétrico, y el paciente se mostró muy satisfecho", dijo. "El adolescente tiene ahora erecciones normales y su miembro es visualmente atractivo.", amplió el cirujano. Desde que la historia se ha hecho pública un nuevo paciente ha solicitado someterse a la intervención. "Tiene un pene de grandes dimensiones de forma natural, no ha padecido ninguna anomalía", declaró el doctor Carrión.
Publicidad








