CIENCIA
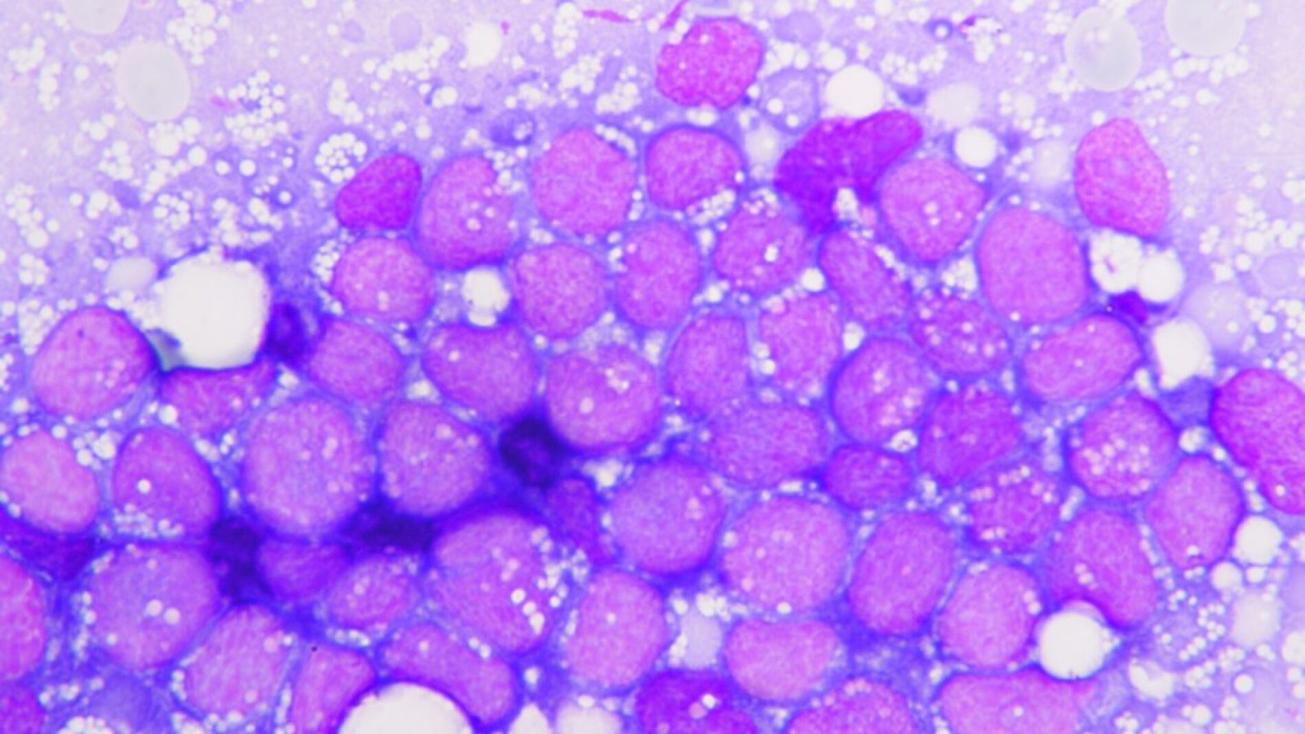
Hallan un fármaco para prevenir y curar la leucemia más frecuente en niños
Un 14% de los 300 nuevos cánceres que se diagnostican anualmente en España de leucemia linfoblástica, un cáncer que se manifiesta en los diez primeros años de vida.

Publicidad
Investigadores del Institut Hospital del Mar d'Investigacions Mèdiques (Imim) y de la Universitat de Barcelona (UB) han hallado un fármaco que en modelos de ratón evita la aparición de leucemias linfoblásticas agudas T y puede llegar a curar esta enfermedad al ser capaz de inhibir uno de sus detonantes.
El trabajo, publicado en la revista 'Leukemia', ha descubierto que la vía de la Beta-Catenina que colabora en la activación de la vía de Notch --alteración genética muy frecuente en estos pacientes-- es un detonante de la enfermedad, el cáncer infantil más habitual, ha informado este jueves el centro en un comunicado.
"Con el fármaco podemos detener la leucemia si lo administramos a los ratones en una etapa muy temprana de la enfermedad", ha indicado la investigadora Anna Bigas, y ha añadido que incluso si se administra en etapas más avanzadas se puede curar a una parte de los animales.
Pese a funcionar en modelos animales, su aplicación clínica aún está por estudiar, ha avisado Bigas, si bien el hecho de que se haya encontrado un inhibidor "es la prueba de que éste, u otro mejor, pueden funcionar para tratar las células leucémicas", ha añadido.
La investigación, pilotada por Anna Bigas y Lluís Espinosa, del Programa de Investigación en Cáncer del Imim, "abre nuevos caminos" para el diagnóstico de los pacientes, ya que la vía Beta-Catenina podría ser un biomarcador para evaluar el pronóstico de las leucemias primarias.
"En este trabajo hemos demostrado que las alteraciones en la vía Beta-Catenina son imprescindibles para la aparición de la leucemia", ha dicho Bigas, y ha expresado que la participación de las alteraciones en esta vía en otros tipo de cáncer ya era conocida, pero se ignoraba en las leucemias linfoblásticas agudas.
Según el estudio, no solo la vía Notch está activada en las células tumorales leucémicas, sino que ésta confluye con la de la Beta-Catenina; ambas proteínas tienen la capacidad de activar la transcripción de una serie oncogenes implicados en el desarrollo de la leucemia, entre los que se encuentra el gen Myc, también clave en la evolución de otros tipos de cáncer.
Futuras investigaciones permitirán conocer mejor esta vía y valorar si vale la pena hacer un tratamiento con inhibidores directos o si hay algún otro nivel inferior de la ruta en el que sea mucho más fácil interferir, según el Imim.
Un 14% de los 300 nuevos cánceres que se diagnostican anualmente en España de leucemia linfoblástica, un cáncer que se manifiesta en los diez primeros años de vida, es de células T, aunque ocho de cada diez casos que se resuelven de forma favorable.
Publicidad









