Ciencia
El equipo del español Joan Massagué abre una vía para el tratamiento contra la metástasis
Han probado que la metástasis es la curación de una herida que ha salido mal. Las células malignas aprovechan las capacidades de curación de las heridas para propagarse.
- La metástasis es responsable de alrededor del 90% de todas las muertes por cáncer

Publicidad
Científicos del Instituto Sloan Kettering de Nueva York (Estados Unidos), liderados por el oncólogo español Joan Massagué, han descubierto que las células que inician la metástasis de los tumores aprovechan las capacidades de curación de las heridas para propagarse. En un sentido literal, han probado que la metástasis es la curación de una herida que ha salido mal. Según los investigadores, estos hallazgos abren una posible vía para encontrar un tratamiento contra la metástasis.
La metástasis es responsable de alrededor del 90% de todas las muertes por cáncer, aunque no se sabe mucho sobre lo que hace que las células cancerosas sean capaces de formar metástasis. Estudios previos del laboratorio de Massagué han demostrado que una molécula llamada L1CAM es necesaria para que numerosos tipos de células cancerosas puedan metastatizar con éxito en los órganos. Los tejidos sanos normales no suelen fabricar L1CAM, pero los cánceres avanzados sí lo hacen. Pero exactamente lo que desencadena la expresión de L1CAM ha sido hasta ahora un misterio.
"Ahora entendemos la metástasis como la regeneración del tejido equivocado (el tumor) en el lugar equivocado (los órganos vitales distantes). Esto no es solo una metáfora. Es literalmente cierto en términos moleculares y fisiológicos", explica Massagué en un artículo científico publicado en la revista 'Nature Cancer'.
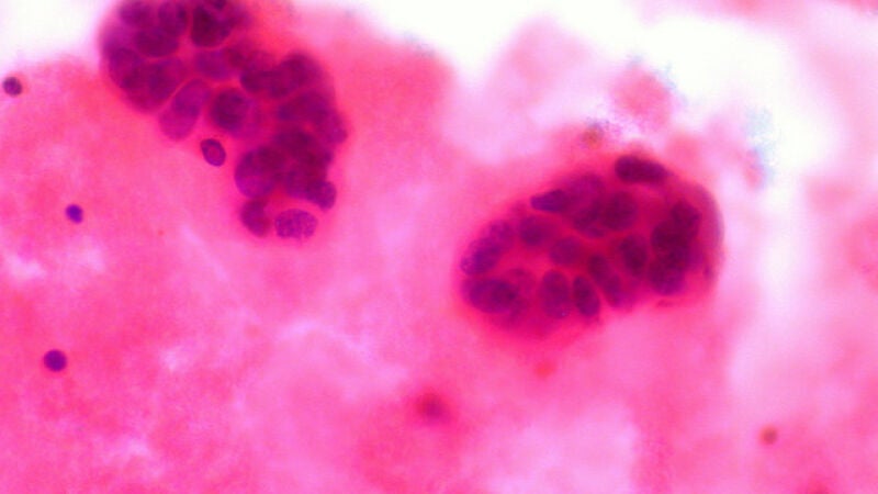
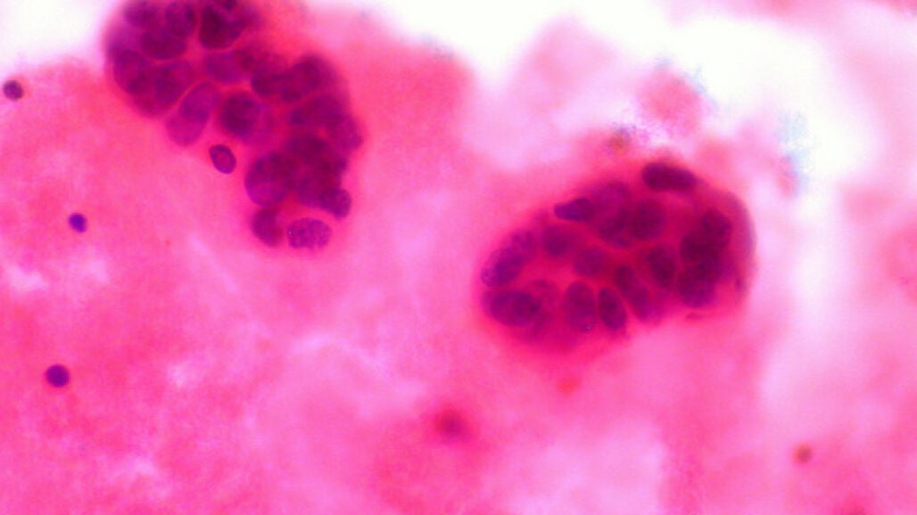
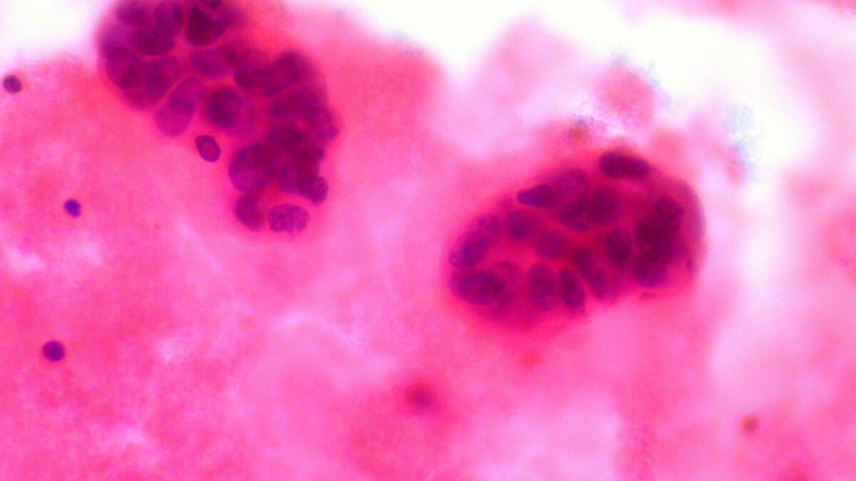
Al observar los tejidos de los tumores humanos bajo el microscopio, los investigadores vieron claramente que la división de células con la L1CAM era más común en áreas donde una capa epitelial estaba alterada, es decir, herida. Utilizando un modelo de colitis en ratón, los investigadores confirmaron que la L1CAM es necesaria para la reparación normal de la herida.
A continuación, querían saber exactamente qué es lo que hace que las células activen la L1CAM en el proceso de la herida. Para averiguarlo, recurrieron a los organoides de tejido, una tecnología que, en el futuro, podría impulsar la generación de órganos para trasplantes. Utilizando estos organoides, los investigadores pudieron demostrar que la simple separación de las células de sus 'vecinas' era suficiente para activar la producción de L1CAM.
La metastasis, como una herida
Los investigadores explican que las heridas son esencialmente una brecha en la integridad de la capa epitelial de la piel, en el que unas células que normalmente están unidas estrechamente entre sí para formar una barrera protectora se separan repentinamente. De manera similar, en la metástasis, las células se desprenden de sus 'vecinas' y migran para llegar a nuevos lugares, según este trabajo.
Los responsables del trabajo sospechan que la reparación de heridas equipaba a ambos tipos de células para sobrevivir a este estado. En el primer caso, permite que las células se desplacen y formen nuevos tejidos; en el segundo, permite que las células metastásicas se desprendan y colonicen nuevos destinos.
Puesto que investigaciones anteriores ya habían vinculado el crecimiento del cáncer con la curación de heridas, estos científicos liderados por Massagué se preguntaron si las células que producen L1CAM son necesarias para iniciar el crecimiento de un tumor primario. Usando un modelo de ratón, encontraron que no: los tumores se formaron bien sin él. Sin embargo, estas células productoras de L1CAM eran necesarias para que los tumores hicieran metástasis. Esto llevó a los investigadores a concluir que las células madre que forman los tumores primarios son diferentes de las que forman las metástasis.
Publicidad









