4.000 CASOS MÁS EN MUJERES QUE EN HOMBRES
Cada 14 minutos una mujer sufre un ictus y en el 80% de los casos se podía prevenir
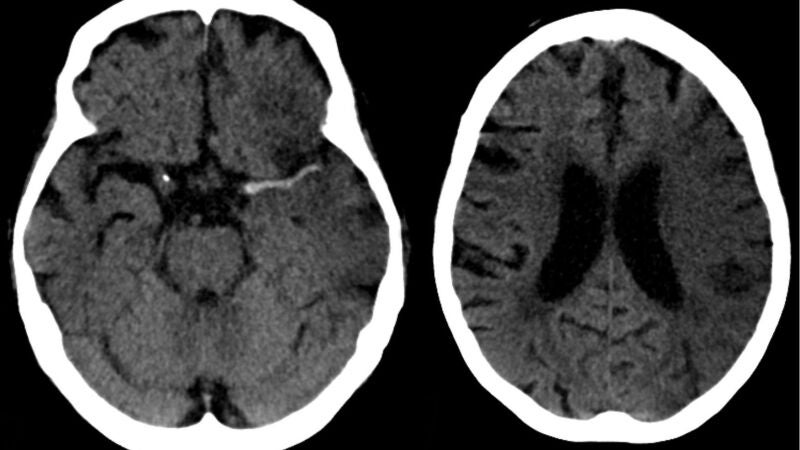
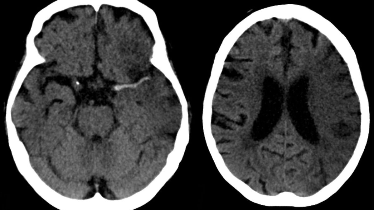
Los infartos cerebrales son la primera causa de muerte de las mujeres en España. Una de cada cinco mujeres sufre un accidente cerebrovascular en algún momento de su vida y en nuestro país más de 16.000 mueren al año por ello, 4.000 más que entre los hombres.

Publicidad
Cada catorce minutos una mujer sufre un ictus, una enfermedad que padecen en mayor medida ellas y que en el 80 % de los casos se puede prevenir con pautas de vida saludable que conocemos todos, pero que olvidamos, y manteniendo a raya indicadores como el colesterol y la tensión.
A esos factores de riesgo se unen otros que hay que evitar, como el sedentarismo, la obesidad y el tabaco, además de aprender a saber gestionar el estrés, una cuestión que se ha tratado en un taller contra el estrés para prevenir el riesgo de ictus en mujeres.
Los infartos cerebrales son la primera causa de muerte de las mujeres en España. Una de cada cinco mujeres sufre un accidente cerebrovascular en algún momento de su vida y en nuestro país más de 16.000 mueren al año por ello, 4.000 más que entre los hombres. ¿Por qué las mujeres son más proclives a sufrir un ictus?.
Las razones las da la doctora Almudena Castro, coordinadora de la Unidad de Rehabilitación Cardiaca del Hospital La Paz de Madrid, presidenta de la sección de Cardiología Preventiva y Rehabilitación Cardiaca de la Sociedad Española de Cardiología y directora de Mimocardio, un proyecto para mejorar la comunicación entre médicos y pacientes.
Hombres y mujeres comparten los factores de riesgo de ictus, pero ellas padecen más patologías de vasos sanguíneos y arterias porque "tienen mayor sensibilidad biológica a sufrir un daño cerebral por cualquier estímulo, como por ejemplo el tabaco".
"Cualquier enfermedad que tenga un impacto sobre las arterias -incide Castro- tiene un efecto más rotundo en las arterias de las mujeres", y sus consecuencias varían dependiendo de la zona que ha afectado al vaso infartado, del tiempo que ha estado el cerebro sin recibir sangre y del daño que ha producido.
Hay otra cuestión que no es baladí: "Las mujeres tardamos mucho en ir al hospital. Pensamos que les puede pasar a nuestros hijos o marido, pero no a nosotras. Probablemente, es una cuestión educacional. Somos menos egoístas y pensamos menos en nosotras".
Cuando la mujer llega al hospital, "normalmente llega tarde y muchas veces sola", según la experta, quien hace hincapié en otro factor de riesgo: la fibrilación auricular, una arritmia por exceso que multiplica hasta por cinco las probabilidades de un ictus.
Para evitarlo, es necesario que la paciente esté tratada con fármacos anticoagulantes, que eviten la formación de trombos. En cuanto al estrés, por sí solo no es una causa para tener un ictus, según la doctora.
"Es un factor desencadenante, que precipita que todo lo que está abajo aflore. Actúa sobre una enfermedad ya latente". Según ha señalado Mónica Esgueva, experta en "coaching" y en gestión del estrés, los métodos de relajación física y mental hacen que nuestro cerebro emita ondas alfa, que son las que nos permiten ser más creativos y estar en un estado de relajación profunda, donde los dos hemisferios se conectan de forma más perfecta. Esgueva propone el "mindfulness" para "disfrutar del aquí y el ahora, para estar en el presente con todos los sentidos y liberarnos de las preocupaciones".
"Hay que saber gestionar el estrés y la ansiedad", dice esta especialista en meditación, a la que ha escuchado atenta Teresa Hernández, una paciente que ha contado su experiencia personal tras sufrir varios problemas de salud por estrés laboral. A Teresa, que sufría una patología cardíaca, el estrés le estaba dando señales.
Más Noticias
-
Un brote de sarna noruega en el hospital Compostelano de Conxo afecta a una veintena de sanitarios
-
30 afectados por dos brotes de sarna en un hospital y residencia de mayores de Galicia
-
El suicidio infantil se dispara un 575% tras la pandemia: "Nuestros hijos necesitan interaccionar con la realidad"
Estaba cansada, respiraba mal y, cuando llegó al hospital, tenía los pulmones encharcados y una analítica de vértigo. La situación desembocó en dos válvulas en el corazón y un marcapasos. Eso hizo que cambiara su vida. Ahora está satisfecha con la que lleva.
Publicidad









