PUBLICADO EN LA REVISTA NATURE
Descubren una biomolécula que ayuda al sistema inmunológico a superar el cáncer
Nuestro sistema inmunológico tiene la capacidad natural de destruir todas las células anormales de nuestro organismo, incluidas las del cáncer, pero muchos tumores son capaces de evitar a las defensas del organismo y desarrollarse. Ahora, un equipo de investigadores liderado por Juan Carlos Izpisúa ha descubierto el proceso que lo hace posible.

Publicidad
Un equipo de científicos liderado por el doctor Juan Carlos Izpisua, profesor del Laboratorio de Expresión Génica del Instituto Salk y director de la Cátedra de Biología del Desarrollo de la UCAM, ha descubierto que actuando sobre los microRNAs, pequeñas moléculas de ARN, se desactiva la protección que ciertos tipos de cáncer tienen frente al sistema inmunológico. Un descubrimiento que podría suponer el punto de partida para el tratamiento de varios tipos de cáncer.
Nuestro sistema inmunológico tiene la capacidad natural de destruir todas las células anormales de nuestro organismo, incluidas las cancerosas. Sin embargo, muchos tumores cancerosos sobreviven y se desarrollan en él.
Un nuevo estudio realizado por este equipo de científicos, del que se ha hecho eco la revista Nature Cell Biology, muestra el proceso por el que ciertos tumores escapan a la respuesta de nuestro sistema inmunológico.
En esta investigación se han descubierto dos moléculas reguladoras de la expresión de genes implicadas en la alteración de las rutas de señalización celular dentro de las células tumorales, que les permite sobrevivir a la respuesta inmune natural del cuerpo.
"La respuesta inmunológica que se produce durante el desarrollo tumoral frena el desarrollo del tumor", según el doctor Izpisua, profesor del Laboratorio de Expresión Génica del Instituto Salk y director de la Cátedra de Biología del Desarrollo de la UCAM. Sin embargo, advierte, "las células cancerosas encuentran una manera de evadir tal proceso, limitando el efecto de esta respuesta inmune antitumoral".
Los tumores, a menudo, crecen tan rápido que no disponen de la sangre suficiente en el tejido, creando un ambiente en el que falta oxígeno (hipoxia). En estas condiciones, las células cancerosas comienzan a autodestruirse, salvo en algunos tipos de cáncer, en los que se ha visto que el microambiente privado de oxígeno que rodea al tumor lo protege frente al sistema inmune.
Los resultados de la investigación revelan cómo las células cancerosas, en condiciones pobres de oxígeno, "escapan de la respuesta del sistema inmune mediante la activación de unas cascadas de señalización celular en las que intervienen microRNAs", señala Izpisúa.
Los microRNAs son pequeñas moléculas de ARN no codificantes que regulan la expresión de los genes mediante el silenciamiento de ARN. Cada vez más se sabe que están implicados en la supervivencia y progresión de los tumores.
El estudio
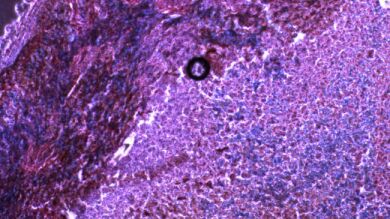
Para entender mejor la conexión entre los microRNAs y la supervivencia del tumor, los investigadores estudiaron los niveles de microRNAs en diferentes tipos de tumores e identificaron dos microRNAs -miR25 y miR93- cuyos niveles aumentaron en los tumores hipóxicos.
El equipo investigador determinó los niveles de esos dos microRNAs en los tumores de 148 pacientes de cáncer y hallaron que los tumores con altos niveles de miR25 y miR93 estaban directamente relacionados con un peor pronóstico de los pacientes comparado con tumores con bajos niveles de estos miRNA.
Sin embargo, para otra molécula llamada cGAS, los resultados eran opuestos: a menor concentración de cGAS en el tumor, peor es el pronóstico del paciente.
Investigaciones previas realizadas por otros científicos demostraron que cGAS actúa como una alarma para el sistema inmunológico; la detección de la presencia de ADN mitocondrial en el entorno celular actúa como señal de daño en los tejidos, activando la respuesta del sistema inmunológico.
Por su parte, Min-Zu (Michael) Wu, primer autor del trabajo e investigador asociado en el laboratorio de Expresión Génica del Instituto Salk y en la UCAM, afirma que teniendo en cuenta estos resultados, "nos preguntamos si estas dos moléculas de microRNA, miR25 y miR93, podrían estar disminuyendo los niveles de cGAS, creando así un escudo de protección inmunitaria para el tumor".
Esta hipótesis fue confirmada mediante nuevos experimentos. Usando modelos de ratón y muestras de tejido humano, los investigadores encontraron que un ambiente de hipoxia desencadenaba un aumento de los niveles de miR25 y miR93, creando una cascada de señalización celular que, finalmente, provocó una disminución en los niveles de cGAS.
Cuando los investigadores inhibieron miR25 y miR93 en células tumorales, los niveles de cGAS se mantuvieron altos en tumores hipóxicos. Así, inhibiendo miR25 y miR93, los investigadores pudieron ralentizar el crecimiento tumoral en ratones. Sin embargo, en ratones inmunodeficientes, el efecto de inhibir miR25 y miR93 fue menos acusado, lo que pone de manifiesto que miR25 y miR93 promueven el crecimiento del tumor a través del sistema inmunológico.
Más Noticias
-
El Ministerio de Agricultura investiga si el virus de la peste porcina podría venir de un laboratorio
-
Nuevas restricciones en Cataluña ante la alerta por la peste porcina africana: prohibido acceso a parques o ríos
-
El Gobierno apunta a Rusia como responsable de la propagación de la peste porcina africana a la Unión Europea
Los microRNAs, miR25 y miR93, pueden ser una nueva vía para tratar de aumentar los niveles de cGAS y así, bloquear la evasión del tumor de la respuesta inmune. Sin embargo, el equipo subraya que dirigirse directamente al microRNA en el tratamiento puede ser muy complicado.
Publicidad









