UNA MUJER DA A LUZ EN UNA MÁQUINA DE RESONANCIA MAGNÉTICA
¿Quieres ver un parto desde dentro?
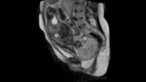
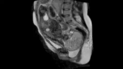
Es la primera vez que podemos ver un parto desde dentro. La grabación la ha distribuído el 'American Journal of Obstetrics and Gynecology'. Es un caso de una mujer que, en Alemania, dió a luz en un aparato de resonancia magnética y el parto quedó grabado.

Publicidad
Estamos acostumbrados a ver partos desde fuera. Pero, por primera vez, podemos ver uno desde dentro. Una sensación increíble.
La experiencia se remonta al año 2010. Una mujer de 24 años dio a luz en un aparato de resonancia magnética en Alemania y todo quedó grabado.
Ese vídeo lo ha distribuído ahora el ‘American Journal of Obstetrics and Gynecology’.
En las imágenes puede verse el momento en el que el niño está a punto de salir del útero materno. Se ven los movimientos de la madre y el niño, y el instante en el que el bebé saca la cabeza.
El pequeño pesó dos kilos y 585 gramos. Todo se desarrolló de manera normal y tanto la madre como el niño fueron dados de alta a los dos días.
Más Noticias
-
Logran frenar el síndrome de Tourette grave de un joven mediante electrodos en el cerebro: "Me ha cambiado la vida"
-
El lince ibérico blanco de Jaén está recuperando su color natural
-
La imagen inédita de la luna y la tierra que grabó el comandante de la misión Artemis desde la escotilla con su teléfono móvil
La grabación de este vídeo puede tener aplicaciones en un futuro. Ayudará a monitorizar el parto y evitar o adelantarse a las posibles complicaciones. Pero también podría ser útil en programas de simulación.
Publicidad









