
Elon Musk relanza su propuesta de lanzar bombas atómicas en Marte para hacerlo habitable

Trump promete que EE.UU. colocará su bandera en la Luna y en Marte

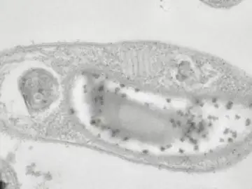
Encuentran nuevas evidencias de posible vida en Marte

La NASA ofrece al público billetes a Marte: Así puedes conseguir uno

La NASA capta en Marte nubes estilo cirros muy similares a las de la Tierra

La NASA te ofrece la oportunidad de enviar tu nombre con la misión Mars 2020

Así serán las casas que podrían instalarse en un futuro en Marte

Trump pide al Congreso 1.600 millones de dólares adicionales para "volver a la Luna e ir a Marte"

La NASA registra por primera vez un terremoto en Marte

Encuentran en Siberia una bacteria que sobreviviría en Marte




