Vacuna contra el COVID-19
Muestran los pulmones de un paciente en la UCI que rechazó vacunarse contra el coronavirus
El paciente no quiso recibir a vacuna de AstraZeneca por miedo a los efectos adversos y ahora, ingresado en la UCI, sus médicos han mostrado el estado de sus pulmones para concienciar sobre la vacunación y han criticado al ministro de Sanidad por mantenerla paralizada.

Publicidad
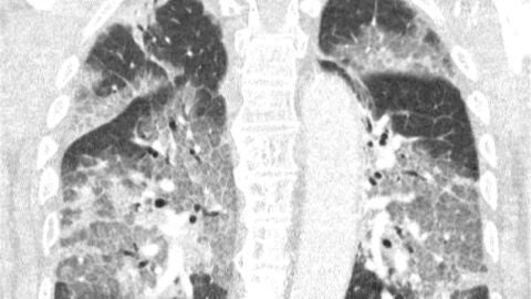
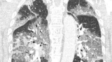
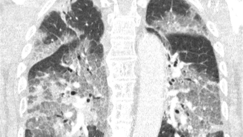
El rechazo de algunas personas a recibir una dosis de la vacuna de AstraZenecacontra la COVID-19 por miedo a los efectos secundarios comienza a tener las primeras consecuencias. Médicos holandeses han mostrado el estado de los pulmones de un paciente que se negó a inyectarse la dosis por miedo. Ahora, ingresado en la UCI, los doctores han compartido las imágenes de las radiografías para concienciar a las personas sobre lo que provoca el coronavirus y animar a la vacunación.
Los médicos han publicado una carta abierta dirigida al ministro de Sanidad del país, Hugo de Jonge, como crítica a la paralización del uso de vacunas contra el coronavirus. Relatan el ingreso en la UCI de un paciente no vacunado y cómo es su estado con respiración asistida mientras lucha contra la enfermedad. "Oímos el tremendo pesar en su voz y la desesperación en sus ojos. El virus lo ha atacado y podría haberse evitado. Con su permiso, compartimos su escáner de pulmón. No es necesario ser un especialista en pulmones para reconocer la devastación, ni epidemiólogo para explicar los riesgos de no estar vacunado", relatan en la carta.
Con estas palabras y la imagen pretenden concienciar a la población sobre los beneficios de la vacunación y, por eso, han querido mostrar de manera gráfica lo que recibir una dosis de cualquier vacuna puede evitar. Además han recalcado que "“el riesgo de daño grave causado por el covid-19 es diez veces mayor para las personas de 40 años y 70 veces mayor para las de 60 años, que el riesgo de daño grave por trombosis".
Se da la circunstancia de que en Holanda permanecen guardadas 80.000 dosis de la vacuna de Janssen a la espera de que la EMA se pronuncie y solo aplican la vacuna de AstraZeneca en personas mayores de 60 años. Han pedido al ministro "dejar de retrasar la vacunación y de provocar inquietud" aludiendo, de nuevo, a que los estudios muestran la eficacia de las vacunas. También han advertido de que podrían hacer uso de las dosis que guardan en sus instalaciones sin permiso.
Concienciación también en España
Tras los cambios de criterio sobre la vacunación y las alertas sobre trombos, algunas personas en España también han rechazado recibir la vacuna. Por ello, el Ministerio de Sanidad ha lanzado una campaña para animar a la vacunación y los especialistas insisten en que el riesgo de desarrollar tromboembolismos o cualquier otro efecto adverso es mínimo.
A través de nuestra herramienta CuentaVacunas puedes conocer el estado de la vacunación en España y en el mundo.
Publicidad


















