DENUNCIA EL GRUPO ESPAÑOL DE TUMORES HUÉRFANOS E INFRECUENTES
Los pacientes con tumores raros denuncian una lista de espera de hasta seis años para usar nuevos fármacos
En un comunicado, la entidad ha querido recordar la necesidad de dar protagonismo a los tumores raros ya que se trata de patologías que están aumentando su incidencia.

Publicidad
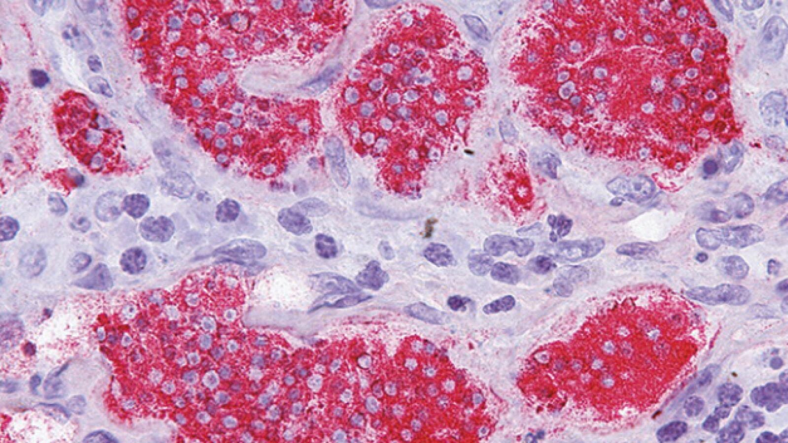
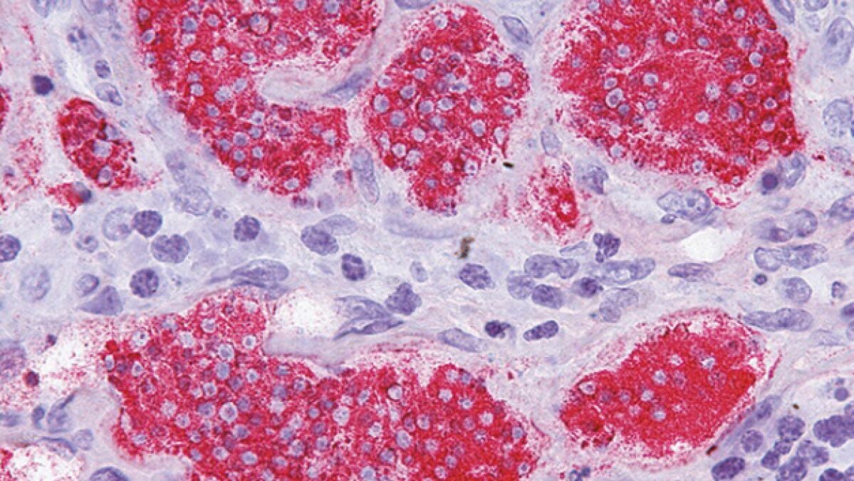
Los pacientes con tumores raros tienen que esperar hasta seis años para poder usar nuevos fármacos avalados científicamente, según ha denunciado el Grupo Español de Tumores Huérfanos e Infrecuentes (GETHI) con motivo de la celebración del día mundial de las enfermedades raras el próximo 28 de febrero.
En un comunicado, la entidad ha querido recordar la necesidad de dar protagonismo a los tumores raros ya que se trata de patologías que están aumentando su incidencia. El presidente de GETHI y jefe de Oncología Médica del Hospital Provincial de Castellón, el doctor Ramón de las Peñas, ha querido recordar la necesidad de impulsar los recursos necesarios para que tanto pacientes como oncólogos tengan a su alcance las mejores opciones para garantizar una buena calidad y cantidad de vida.
Según el doctor, uno de los principales inconvenientes que se encuentra en el diagnóstico y tratamiento de un paciente es la falta de formación que ha recibido "en el abordaje diagnóstico y terapéutico de estos tumores".
Según De las Peñas, en más de una ocasión "el oncólogo se enfrenta en soledad a situaciones que le pueden provocar un importante nivel de tensión y seguridad". GETHI también ha manifestado que otra de las barreras para el tratamiento de los tumores huérfanos e infrecuentes es que llegan a las consultas de forma "tardía y desigual" y, según De las Peñas, los pacientes en España no tienen opciones de acceder a tratamientos potencialmente eficaces "porque las barreras administrativas lo impiden".
De las Peñas ha denunciado que tras la aprobación de un fármaco y la emisión del informe de posicionamiento terapéutico, las administraciones disponen de filtros que dificultan que estos fármacos, si son de alto impacto, sean accesibles con equidad a todos los pacientes.
Más Noticias
Un estudio realizado en el año 2015 por la Sociedad Española de Oncología Médica indica que un medicamento puede tardar en estar disponible hasta seis años después de ser aprobado por la Agencia Europea.
Publicidad









