EL 15% DE LA PAREJAS TIENEN PROBLEMAS DE FERTILIDAD
Los avances de la fecundación in vitro
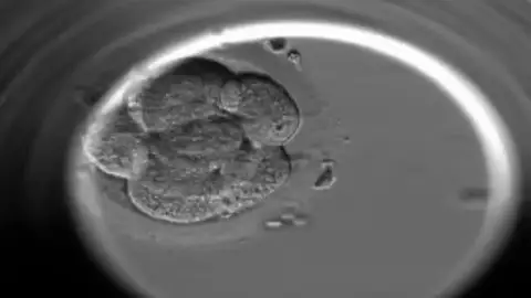
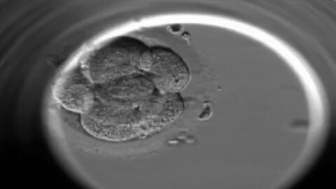
Una incubadora con cámara nos permite ver a tiempo real los primeros instantes de la fecundación de un óvulo. Un avance que mejora la fecundación in vitro, técnica reproductiva cada vez más utilizada entre las parejas. La edad de la mujer sigue siendo un factor determinante en el éxito de la reproducción.

Publicidad
El retraso en la edad de las mujeres para ser madres está produciendo que éstas tengan más problemas para concebir. Eso se debe a que "la edad de la mujer sigue siendo un factor determinante en el éxito de la reproducción", tal y como explica el ginecólogo Roque Devesa.
Se calcula que un 15 por ciento de las parejas españolas tiene problemas a la hora de concebir un hijo. Por eso, utilizan técnicas de reprodución asistida como la fecundación in vitro. Gran parte del éxito de esta técnica radica en la obtención de embriones de buena calidad. Un proceso que se ha mejorado gracias a una nueva incubadora.
La incubadora, dotada de un sistema complejo de cámaras, permite hacer un seguimiento continuo de los óvulos fecundados de las pacientes. El vídeo, a tiempo real, permite observar el óvulo desde que se fecunda hasta que se transfiere.
Publicidad








