Cáncer de mama
Demuestran la participación del gen 'NCAPH' en el pronóstico y evolución de un tipo de cáncer de mama
El estudio liderado por el CSIC, ayuda a entender mejor los mecanismos moleculares del cáncer de mama de tipo Luminal A y abre la puerta a un tratamiento más personalizado.

Publicidad
Un estudio liderado por el Consejo Superior de Investigaciones Científicas y la Universidad Complutense de Madrid demuestra la importancia del gen 'NCAPH' en la progresión del cáncer de mama Luminal A al confirmar su participación en el desarrollo de la enfermedad.
Mala evolución de la enfermedad
Este tipo de cáncer, al estar asociado con un buen pronóstico, recibe habitualmente un tratamiento menos agresivo que otros subtipos. Pero un importante porcentaje de casos muestra una evolución desfavorable, con un 15% de recaídas a los 5 años y otro 15-16% después de los 10 años del diagnóstico inicial. De ahí que el hallazgo ofrezca nuevas vías para identificar esos casos de peor evolución y emplear en ellos estrategias de tratamiento personalizadas que podrían mejorar los resultados en esos pacientes.
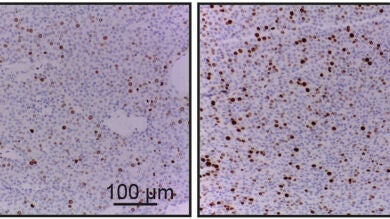
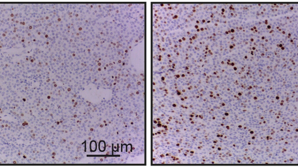
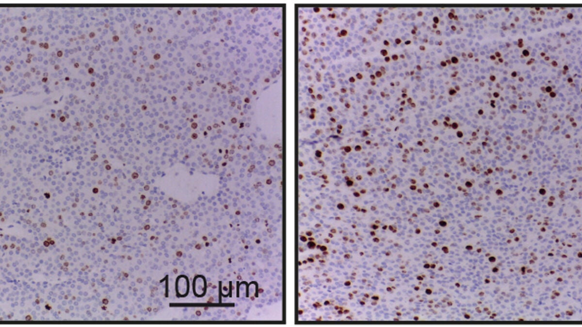
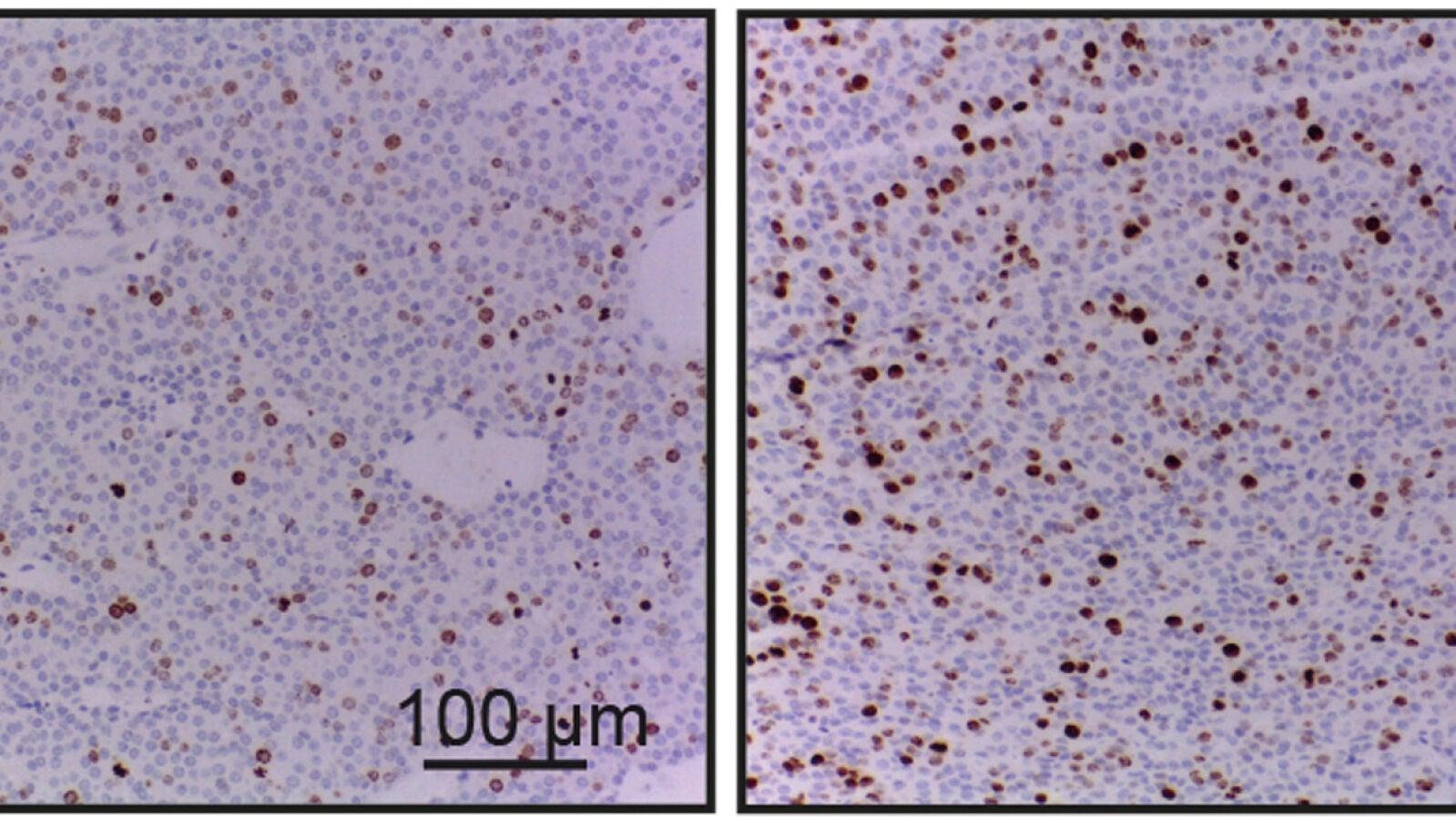
"Hemos descubierto que los altos niveles de expresión en el tumor del gen que codifica la proteína 'NCAPH', vital para la correcta condensación de los cromosomas durante la mitosis, en conjunto con otros 9 genes, conforman una firma genética asociada con un pronóstico desfavorable en un subtipo específico de cáncer de mama.
Nuestro estudio demostró que esta firma genética es incluso más precisa que el test comercial 'Oncotype DX'. Por lo tanto, estos hallazgos establecen una base sólida para un estudio prospectivo de validación que, si confirma la eficacia de esta firma genética, facilitaría su integración en la práctica clínica", nos explica Jesús Pérez Losada, investigador del Centro de Investigación del Cáncer (CIC-CSIC-US), instituto mixto del CSIC y la Universidad de Salamanca.
El personal investigador corroboró la asociación entre el gen 'NCAPH' y el mal pronóstico y evolución del cáncer de mama Luminal A mediante la utilización de modelos animales genéticamente modificados, estudios celulares y el análisis epidemiológico retrospectivo en diferentes grupos de pacientes. Para ello, se empleó la herramienta genética 'PAM50', capaz de clasificar de manera más exacta los tumores de mama.
"La herramienta genética PAM50 permite una clasificación molecular detallada de los tumores de mama, distinguiendo con alta precisión entre los subtipos luminales A y B. Los subtipos luminales B, asociados a un peor pronóstico, requieren a menudo un tratamiento más agresivo desde el principio, generalmente con quimioterapia. Sin embargo, esta misma estrategia podría ser necesaria para los tumores luminales A que, identificados como de mal pronóstico por presentar altos niveles de NCAPH, podrían demandar un enfoque terapéutico igualmente intensivo", explica el científico del CIC-CSIC-US.
En el estudio participan también científicos de la Universidad Complutense, Sonia Castillo colidera el estudio; el Hospital Clínico Universitario de Salamanca; la Universidad de Salamanca y el Lawrence Berkeley National Laboratory (EE. UU.).
"Los resultados de esta investigación multidisciplinar demuestran la importancia de la colaboración entre diversas disciplinas y especialidades para avanzar en la comprensión y tratamiento del cáncer de mama Luminal A", concluye Pérez Losada.
Síguenos en nuestro canal de WhatsApp y no te pierdas la última hora y toda la actualidad de antena3noticias.com
Publicidad









